ĐỘT QUỴ NÃO Ở NGƯỜI TRẺ: ĐỪNG CHỦ QUAN VỚI NHỮNG DẤU HIỆU BAN ĐẦU
Bệnh viện Đa khoa Bắc Ninh số 2 vừa tiếp nhận và điều trị một trường hợp đột quỵ não nặng ở người bệnh trẻ tuổi. Từ trường hợp thực tế này, các bác sĩ khuyến cáo người dân không nên chủ quan với những dấu hiệu bất thường xuất hiện đột ngột, bởi đột quỵ không chỉ gặp ở người cao tuổi mà cũng có thể xảy ra ở người trẻ, nhất là khi có các yếu tố nguy cơ về sức khỏe và lối sống.
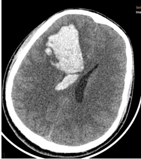
Người bệnh nam, 23 tuổi, trước đó khỏe mạnh. Khoảng 8 giờ sáng ngày 15/4/2026, người bệnh xuất hiện đau đầu đột ngột, sau đó ý thức giảm dần, được phát hiện nằm dưới sàn nhà và đưa đến bệnh viện lúc 13 giờ cùng ngày trong tình trạng lơ mơ, liệt nửa người trái. Kết quả chụp cắt lớp vi tính sọ não cho thấy xuất huyết não bán cầu phải kèm tràn máu não thất. Đây là tình trạng nặng, có nguy cơ đe dọa tính mạng nếu không được xử trí kịp thời.
Người bệnh nam, 23 tuổi, trước đó khỏe mạnh. Khoảng 8 giờ sáng ngày 15/4/2026, người bệnh xuất hiện đau đầu đột ngột, sau đó ý thức giảm dần, được phát hiện nằm dưới sàn nhà và đưa đến bệnh viện lúc 13 giờ cùng ngày trong tình trạng lơ mơ, liệt nửa người trái. Kết quả chụp cắt lớp vi tính sọ não cho thấy xuất huyết não bán cầu phải kèm tràn máu não thất. Đây là tình trạng nặng, có nguy cơ đe dọa tính mạng nếu không được xử trí kịp thời.
.jpg)
Hình ảnh xuất huyết não - não thất trên phim chụp CT sọ não
Ngay sau khi tiếp nhận, người bệnh được chỉ định phẫu thuật cấp cứu lấy máu tụ trong não và não thất. Sau phẫu thuật, người bệnh tiếp tục được hồi sức tích cực và hỗ trợ thở máy. Sau 2 ngày điều trị, người bệnh được cai máy thở, vận động tay chân trái dần cải thiện. Đến ngày thứ 3 sau phẫu thuật, người bệnh tỉnh táo, vận động phục hồi rõ rệt.
Trường hợp này cho thấy việc nhận biết sớm dấu hiệu bất thường, đưa người bệnh đến cơ sở y tế kịp thời và được xử trí đúng, nhanh có ý nghĩa rất quan trọng trong điều trị đột quỵ.
Theo các bác sĩ, đột quỵ não có thể xảy ra ở nhiều độ tuổi khác nhau, trong đó có cả người trẻ. Vì vậy, mỗi người không nên chủ quan khi xuất hiện các triệu chứng thần kinh bất thường, đặc biệt là những dấu hiệu khởi phát đột ngột.
Trường hợp này cho thấy việc nhận biết sớm dấu hiệu bất thường, đưa người bệnh đến cơ sở y tế kịp thời và được xử trí đúng, nhanh có ý nghĩa rất quan trọng trong điều trị đột quỵ.
Theo các bác sĩ, đột quỵ não có thể xảy ra ở nhiều độ tuổi khác nhau, trong đó có cả người trẻ. Vì vậy, mỗi người không nên chủ quan khi xuất hiện các triệu chứng thần kinh bất thường, đặc biệt là những dấu hiệu khởi phát đột ngột.
.jpg)
Dấu hiệu đột quỵ “FAST”
Để nhận biết sớm đột quỵ, người dân cần ghi nhớ nguyên tắc FAST:
F (Face – Khuôn mặt): Méo miệng, lệch mặt.
A (Arm – Tay): Yếu hoặc liệt tay, chân một bên.
S (Speech – Lời nói): Nói khó, nói ngọng, diễn đạt bất thường.
T (Time – Thời gian): Khi xuất hiện một trong các dấu hiệu trên, cần gọi cấp cứu hoặc nhanh chóng đưa người bệnh đến bệnh viện. Thời gian can thiệp càng sớm, cơ hội điều trị hiệu quả càng cao.
Ngoài các dấu hiệu theo nguyên tắc FAST, người dân cũng cần lưu ý những biểu hiện khởi phát đột ngột như đau đầu dữ dội, rối loạn ý thức, nhìn mờ, chóng mặt hoặc mất thăng bằng.
Bên cạnh đó, việc khám sức khỏe định kỳ, kiểm soát huyết áp và các bệnh lý chuyển hóa, duy trì lối sống lành mạnh, hạn chế rượu bia, không hút thuốc lá và tăng cường vận động có ý nghĩa quan trọng trong phòng ngừa đột quỵ. Việc phát hiện sớm và xử trí kịp thời giúp giảm nguy cơ tử vong, hạn chế di chứng và cải thiện khả năng hồi phục cho người bệnh./.
F (Face – Khuôn mặt): Méo miệng, lệch mặt.
A (Arm – Tay): Yếu hoặc liệt tay, chân một bên.
S (Speech – Lời nói): Nói khó, nói ngọng, diễn đạt bất thường.
T (Time – Thời gian): Khi xuất hiện một trong các dấu hiệu trên, cần gọi cấp cứu hoặc nhanh chóng đưa người bệnh đến bệnh viện. Thời gian can thiệp càng sớm, cơ hội điều trị hiệu quả càng cao.
Ngoài các dấu hiệu theo nguyên tắc FAST, người dân cũng cần lưu ý những biểu hiện khởi phát đột ngột như đau đầu dữ dội, rối loạn ý thức, nhìn mờ, chóng mặt hoặc mất thăng bằng.
Bên cạnh đó, việc khám sức khỏe định kỳ, kiểm soát huyết áp và các bệnh lý chuyển hóa, duy trì lối sống lành mạnh, hạn chế rượu bia, không hút thuốc lá và tăng cường vận động có ý nghĩa quan trọng trong phòng ngừa đột quỵ. Việc phát hiện sớm và xử trí kịp thời giúp giảm nguy cơ tử vong, hạn chế di chứng và cải thiện khả năng hồi phục cho người bệnh./.
Tác giả: BSCKII Hoàng Hải Hòa – Trưởng khoa Phẫu thuật Thần kinh Lồng ngực
Phạm Thị Thu Hà - Phòng CTXH








